벡스코역 8번 출구 82m
진료상담 및 예약
051-743-2080
모바일 상담
010-7930-2081
환자와의 소통
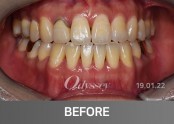
치아미백 190122
치아미백 190117
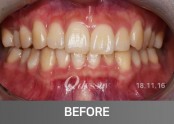
치아미백 181116
임플란트 181210
임플란트 181229
임플란트 181105
임플란트 181208
방문하는 모든 분들에게행복과 만족을 채워드리겠습니다.
센텀오딧세이치과의원